


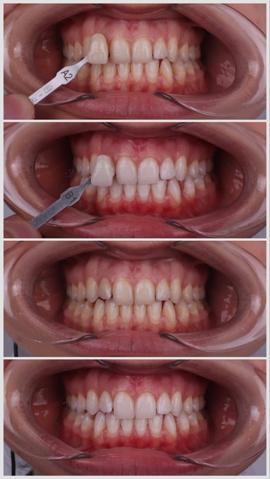
İstanbul Nişantaşı'nda, hastalarıma diş bakımını rahat ve eşsiz bir deneyim hâline getiriyorum. İster hızlı bir temizlik için zaman ayırın, ister uzun zamandır planladığınız estetik gülüş tasarımını gerçekleştirin, modern ve konforlu hizmetlerim ile gülüşünüzün her zaman sağlıklı ve etkileyici görünmesini sağlıyorum.
Ben, Dt. Eren Işıldak, İstanbul’da doğdum. Lise eğitimimi Pertevniyal Anadolu Lisesi’nde tamamladıktan sonra Bezmialem Vakıf Üniversitesi Diş Hekimliği Fakültesi’nden başarıyla mezun oldum. Mesleki yolculuğumda sayısız eğitim, sertifika programı ve kongreye katılarak kendimi sürekli geliştirdim. Genç Estetik Diş Hekimliği Akademisi Derneği’nin yönetim kurulunda görev aldım ve iki yıl süreyle derneğin başkanlığını yürüttüm. Farklı polikliniklerde kazandığım deneyimlerin ardından, 2023 yılında DentGroup Nişantaşı Diş Polikliniği’nin ortağı oldum. 2025 yılında ise hastalarıma daha kişiselleştirilmiş bir deneyim sunmak amacıyla, İstanbul’un prestijli lokasyonlarından Abdi İpekçi Caddesi’nde bulunan kendi kliniğimi açtım. Mesleğimde ağırlıklı olarak dijital gülüş tasarımı, full porselen ve laminate veneers (yaprak porselen), zirkonyum kaplamalar, bilgisayar destekli diş hekimliği tedavileri, inlay-onlay, estetik dolgular, kanal tedavisi ve dental fotoğrafçılık gibi estetik, kozmetik ve fonksiyonel alanlarda çalışmaktayım. Ayrıca, Università degli Studi di Siena’da Estetik ve Dijital Diş Hekimliği alanında master eğitimi aldım ve bu süreçte Roberto Sorrentino ve Marco Ferrari gibi dünyaca ünlü isimlerden birebir eğitimler alma şansı buldum. Her hastayı kendine özgü bir bütün olarak görmeyi, estetik ve fonksiyonun dengede olduğu kişiselleştirilmiş çözümler sunmayı temel ilke ediniyorum. Sürekli öğrenmeye ve gelişime odaklanan bir hekim olarak IFED (International Federation of Esthetic Dentistry), EDAD (Estetik Dişhekimliği Akademisi), ITI (International Team for Implantology), İDO (İstanbul Diş Hekimleri Odası) ve TDB (Türk Dişhekimleri Birliği) üyeliklerimle güncel uygulamaları yakından takip ediyorum.
































































Son teknoloji ve sizin için özel hazırlanmış tedavi planları ile premium diş bakımını deneyimleyin.
+90 544 248 19 98
Abdi İpekçi Cad. No:40 D:9 Nişantaşı/İstanbul
Diş Kliniği